
Internees at a ‘de-extremification’ event in Lop county
I wrote about the camps in Xinjiang for Zocalo Public Square.

Internees at a ‘de-extremification’ event in Lop county
I wrote about the camps in Xinjiang for Zocalo Public Square.
I went on BBC Breakfast this morning to talk briefly about the Xinjiang camps.


I spoke briefly about the Xinjiang camps on the BBC Today program. They got my name wrong. Oh well! You can listen here
My novel isn’t out until August next year, but I thought I’d start the book tour early…. You can hear an excerpt from it on the Culture Laser podcast. It starts at around 10m 11 secs in….
My piece on China’s recent claims that fighters from Xinjiang are training with IS is up at Vice News.
The autumn issue of The Dublin Review has a long tale of the joys and sorrows (more of those) of trying to do internet dating in Bishkek in Kyrgyzstan. Suffice to say, no weddings are currently planned.
It begins thus:
September is the perfect month for dating in Bishkek. The intense heat of the Kyrgyz summer has passed, but the days are still bright and warm. In the evening you can eat outside, then stroll through the park, without feeling the slightest chill.
Before I travelled to Bishkek, I’d been living in London for six months, and despite the many possibilities of the place I was in a dating rut. We went to the British Film Institute or the Hackney Picturehouse. We spoke sometimes of Mad Men, sometimes of Breaking Bad, always of Game of Thrones. We were witty and cutting and sometimes we kissed but even after three drinks, with our eyes shut, our tongues entwined, we remained urbane. We were youngish, smart professionals. We were polished stones.
My initial reasons for visiting Kyrgyzstan’s capital had nothing to do with dating. I wanted to do a report on a clinic that treated drug addiction by putting its patients into comas. I had nothing else planned, and knew no one in Bishkek. Three days before I was due to leave, I was checking OkCupid – not with any real conviction, more out of pathetic habit – and saw I had a message from a fifty-six-year-old woman in Uzbekistan. ‘Good face!’ she wrote, which was nice of her, but alas I had no plans to visit Tashkent. It did, however, make me wonder if OkCupid had any English-speaking women in Bishkek on its site.
I’m amazed and delighted to have won this year’s Willesden Herald Short Story Prize.
My story, ‘Ward’, is about a young girl who gets very ill and how it changes her.
You can read it and the other nominated stories by buying the anthology which is a bargain at £5.99 (incl. postage)- the best place to buy it is here.
An extract:
She’d never had so many presents. Flowers, magazines, teddy bears and balloons, a poster of two puppies wedged in a boot. Sandra was the only visitor who didn’t bring a gift. Her presence was confusing, because she and Emily weren’t friends. Emily wondered if Sandra liked her the way she liked her classmate Maxine: quietly, from an awed distance, content to sit two rows behind. After ten minutes she noticed the way Sandra’s eyes returned to the needle in her arm, the IV line, the slowly shrinking bag. She asked if Emily was in pain, if she was going to have an operation. She wanted to tell everyone about her dying classmate.
My piece for the 4th anniversary of the Urumqi riots is at Dissent magazine.
Isobel Yeung, who works for CCTV, China’s state broadcaster, recently wrote a piece for The Independent in which she argued that the Western media are misrepresenting China’s policies towards ethnic minorities in Inner Mongolia. She argued that the government aren’t trying to destroy the culture of nomadic herders by moving them into cities- they just want to improve their ‘medieval lifestyle’. Here’s my response to this in The Independent.
The program for the PEN World Voices Festival of International Literature in New York is now online, featuring many great writers, such as James Kelman, Aleksandar Hemon and Edna O’Brien. If you happen to have $1000 kicking around, I’d suggest you get a ticket for the Philip Roth Literary Gala event.
I’ll be taking part in two events in the festival, the first A Literary Safari, where I will be pursued, Running Man style, through a booby trapped labyrinth while giving a reading. The second is a more sedentary affair, though possibly equally perilous- I’ll be moderating an event on Revitalizing Endangered Languages.
Lots to check out- and if you’re not in NYC then, I’m sure a lot of it will be online on the PEN site.
My Dublin Review piece on corruption and factories in China is now online.
My interview with Saskia Sassen on Occupy, the Eurozone, and the politics of urban spaces is now online here
I have a new story called ‘The False River’ in the latest edition of The Manchester Review, along with work from Kirsty Gunn, Rachel Cusk, Janet Frame and others. Their redesigned site looks great and has lots of other good work worth checking out.
Dear Readers, I will be doing a reading with Keith Ridgway on Saturday 24th November as part of this year’s West Port Book Festival. Keith Ridgway’s latest book, Hawthorn & Child, has been getting some very good reviews, and I’m looking forward to the event. I will be reading from the novel I am currently working on, so there’s also the enticing prospect of an EPIC FAIL on my part.
You should also check out the many other FREE events in the WPBF – ranging from book binding to Turing-themed collaborations – all of which are testament to the care with which the WPBF has been programmed. It is the boutique festival of boutique festivals. Come along, enjoy the events, and help support the booksellers of West Port.
My review of Ford’s lastest novel Canada (spoiler: I liked it) is in the new issue of Edinburgh Review (no.135) along with poems by Benjamin Morris and an essay by Ryan Van Winkle, two gentlemen that are well-known to me.
Canada by Richard Ford. Bloomsbury. ISBN 9780747598602 £18.99
Richard Ford’s seventh novel is a curious hybrid. His early novels (A Piece of My Heart, The Ultimate Good Luck) were sparsely written exemplars of the dirty realism promoted by Raymond Carver and Tobias Wolff, and focussed on characters who, through poor luck and judgement, found themselves in desperate situations that built to an act of violence. The Sportswriter was a conspicuous departure in style and content, shifting the action to suburban America, and the dreamy, middle-aged ruminations of Frank Bascombe. Despite its acknowledged debts to Walker Percy’s The Moviegoer, Bascome’s method of narration had a charm and thoughtfulness that Ford sustained throughout two subsequent novels featuring the character (Independence Day and The Lay of the Land).
Canada’s opening sentences seem to align it with Ford’s earlier work: ‘First, I’ll tell you about the robbery our parents committed. Then about the murders, which happened later.’ This matter of fact statement sets up the structure of the book. In the first part Dell Parsons, a retired teacher in Canada, tells of how his family broke apart after his father robbed a bank; the second part relates what happened to him after his parents went to jail and he was sent to live in rural Saskatchewan. Though those opening sentences are attention grabbing, and promise some genre elements, they also have the effect of removing a degree of tension from the narrative. Both the robbery and the murders, when they eventually occur, are related in minimal fashion. One reason for this is because Dell believes the context is as important as the crime- their family life had both ‘the side that was normal and the side that was disastrous’, and they were inextricable. Ford’s depiction of the family dynamics — the tensions and affinity between Dell and his sister Berner; the mismatch of his parents — persuasively fuses the insight of the elderly narrator with the bewilderment of his younger self, deepening our feeling for how the two children are affected by their parents’ crime.
Despite the subject matter of the novel, the tone of the book is more in keeping with the Bascombe novels. Though this is a tale told by a man in his sixties, the five decades of Dell’s life after the murders are dealt with in only a few paragraphs near the end of the book. Canada is an attempt by a man to understand the most important events in his life, to follow his father’s injunction that he ‘find ways to make everything make sense.’ What makes Canada more than a coming of age story with thriller elements is that Dell admits that ‘making sense’ is not necessarily the same as trying to tell the truth. He excuses his younger self’s lie to his father by claiming ‘it was better than saying what was true’; he justifies another deception (this time of himself) with the rationale that ‘in all ways it seemed better to think that’, the implication being that when we try and remember our past, the truth is not always what is best for us.
Though the novel is stylistically grounded in the realism of Ford’s earlier work, Canada is more interested in how (and why) narratives are constructed. Dell slightly misquotes John Ruskin as saying ‘composition is the arrangement of unequal things’, which perhaps refers to the need for distortion in order for Dell’s tale to make the right kind of sense to himself (he might also have quoted Ruskin’s dictum regarding the process of making ‘things separately imperfect into a perfect whole’). Dell’s memories, and his mother’s prison diary, can only take him so far in his attempt to ‘make sense’ of what happened. As he says, there are ‘reasons that in the light of a later day don’t make any sense at all and have to be invented’.
Dell is constantly interrogating himself, posing questions and providing answers then undermining those answers. One example of this is his use of the idea of ‘destiny’ or fate. In the novel’s second paragraph there is a suggestion that his parents were ‘destined to end up the way that they did’, an idea developed a few pages later when Dell speaks of his father being ‘in the grip of some great, unspecified gravity’. Later in the novel he tries to argue that ‘because very few people do rob banks, it only makes sense that the few are destined for it’, but immediately admits that he finds it ‘impossible not to think this way, because the sense of tragedy would otherwise be overwhelming to me.’ However, he goes on to exempt himself and his sister from fate, claiming they were ‘accountable only to ourselves now, not to some greater design’. By invoking fate in this selective manner, Dell is granting his parents a kind of absolution, perhaps because ‘blaming your parents for your life’s difficulties finally leads nowhere’. At the same time, he is also granting himself and his sister a level of freedom (but also responsibility).
It is this level of psychological complexity — achieved in a prose that is restrained without being sparse — that makes Canada a consistently interesting novel. My main reservation is that Ford is occasionally heavy handed in his symbolism. After the robbery, when Dell’s father’s behaviour seems strange and inexplicable, Ford has him swallow a piece of a jigsaw puzzle. A more persistent irritation is the frequency with which Dell’s interest in chess is recruited as a metaphor. There are also times when Ford’s attempts to mine significance from the ordinary verge on the portentous:
Weather means more than time on the prairie, and it measures the changes in oneself that are invisibly occurring.
Things happen when people are not where they belong, and the world moves forward and back by that principle.
These minor quibbles aside, Canada is a novel that deserves respect for its calm and thoughtful exploration of how we fashion stories about ourselves.
I have a new piece on the LRB Blog on Chinese propaganda comics from 1950 that some have used to critique modern China. The only thing I’d add to what I say there is that to argue that China has gone back in time is overlook the many achievements made by the PRC, albeit sometimes at catastrophic cost to its people. Despite the apparent similarities, the problems of contemporary China are those of a very different kind of society and system.
‘The Shamutanti Hills’ is a quest through a fantasy world in which magic and might are required to defeat various monsters and obstacles. This requires good judgement and a lot of luck, the latter generated (or not) by rolling two six-sided dice. Unsurprisingly, the reader fails (and dies) many times and has to start again.
Neither ‘The Shamutanti Hills’ nor its successor, ‘Khare- Cityport of Traps’ were on the school syllabus, despite their excellent spell casting system and well-pitched level of difficulty. During the prize-giving ceremony it became apparent that I was the only winner to have bought such books. The other pupils had purchased encyclopaedias, advanced math textbooks, bilingual dictionaries that required a two-handed grip. When the headmaster- a kind man with a degree in Classics from Oxford –handed me the brightly coloured fantasy books, he was obviously disappointed. Until that moment it had never occurred to my nine-year old self that with rewards might also come expectations.
This episode taught me that sometimes you have to conceal the things you enjoy, and not because they are illegal or immoral, but because they don’t fit with people’s conceptions of you. But I think it also had a hand in teaching me that things we expect to wholly enjoy are often a more mixed affair. Awards require speeches; fondue parties can drag; many cherished fantasies end in discomfort and hospitalisation. I wouldn’t go so far as to label this a depressive or melancholic worldview; but it’s one that definitely looks for the grey in every silver cloud.
This also extends to compliments (especially about my writing). What should be a form of validation just makes me feel awkward. ‘Thank you,’ doesn’t seem an adequate response, but I can never tell what else the person might expect to hear, whether they want me to talk about the story, say something about my work in general, or ask them something about themselves: I have so little idea of which would be right that I might as well roll a dice to choose. Though this is true of any encounter, the person’s kindness makes me want to give an answer they’ll appreciate, and there are just those two or three seconds in which to speak, and if I fail, there’s no chance to start again.
So when I received a phone call informing me I had been awarded a Robert Louis Stevenson Fellowship, I was slightly taken aback. Matters weren’t helped by me mistaking the voice of the woman asking if I was Nick Holdstock. I leapt to the conclusion that she was my mother, causing me to say ‘Mum? Is that you Mum?’, which caused equal confusion in her. She mastered hers more quickly and went on to say that all I had to do was decide when to go to Grez sur Loing (the small village 70km southeast of Paris where RLS fellows have been going since 1994). Feeling that more than simple gratitude was required, I replied by saying it was by far the best news I’d had in a really long time. This disclosure elicited a pause, perhaps of pity, for either the sentiment, or that I had been compelled to express it.
Though my answer might have suggested desperation, it was mainly borne of surprise. Like many artists, I’m constantly applying for fellowships, bursaries and grants; given the huge impact these can have on one’s professional life (often determining what you have to do to make ends meet), it is with more than a small amount of expectation that you await the verdict. During this period it’s easy to find oneself performing tricks of mental sleight of hand. You tell yourself that although you deserve it, and are good enough, there are many reasons why you might not get it. You tell yourself that the outcome is at least partly due to chance. Or you do the same as the subject of Lydia Davis’s short story, ‘The Fellowship’, in which two reasons are posited why the subject of the story, year after year, does not get the award: one that the person is qualified, but his/her ‘application is not good enough’; the other that the applicant is qualified ‘but not patient enough.’ If the results arrive, and one is rejected, there is thus an embarrassment of explanations to choose from, certainly no need to doubt that one’s application might have failed for reasons that the subject of Lydia Davis’s story does not even consider.
Receiving a prize or award raises an opposite, almost equally terrifying possibility: that with sufficient time and space you might actually produce something good. Having to work several jobs, or go to fondue parties, is something I have often bemoaned, both for the interruptions to work and my sang-froid (and I cannot write with burned lips). Being given a month in which to do nothing but write and eat cold French cheese was in many ways an answer to my moans. However, after the initial I-want-to-dance-till-I’m-dead euphoria had cleared, there was the worry of whether all the time and lack of interruption would actually make a difference. Perhaps I would be prey to all the clichéd monsters of distraction: the ‘fact-checking’ that leads to ‘research’, the many links that can be clicked, so that one wanders, as if blindfolded, through the great labyrinth that is the Internet. Either that or I’d be fighting my way through Sorcellerie!
It is with some relief, and just as much surprise, that I can report that these expectations (or to be precise, fears) have proved mistaken. During the last 20 days I have mostly been able to work in a steady fashion. Here are some of the sentences:
“Even the word of so many monarchs was not proof enough.”
“They felt like ants, but much faster than ants, these did not march in slow columns, these ants rode on trains.”
“The predictable vibrator was in her bedside drawer.”
“People in the newer districts rolled their eyes and groaned; in the old town, in the midbrain, lights pulsed in applause.”
My productivity has not been due to the lack of possible distractions. I could have followed the river Loing through the woods for hours, pursued the mysteries of the village— who left the decapitated snake outside the bakers?; what is really happening in the ‘vaccination centre’ where lights burn all night? —or indulged in the all too easy business of writing about the foibles of the other artists in residence. But the latter are kind and welcoming people, and it has rained most days. As for the unexplained events in the village, I know better than to pry in rural matters. I have lost too many kin in the dark woods of East Sussex (in their own way as perilous as the Hills of Shamutanti) to think otherwise.
But I think there’s a far simpler reason I’ve found it easy to work here. I hesitate to name it, but it can perhaps be found in watching the angles the swallows turn as they approach their nest. Or in the bullying tactics of the white dove that squats on top of the roof. It’s in the sound of the trees and hearing people joke in languages I do not understand. To say it stems from the removal of pressure is to approach the truth: but I don’t know if ‘expectation’ has an antonym.
I’m very happy to say I’ve been awarded a Robert Louis Stevenson Fellowship (thank you Creative Scotland) which means I’ll be in the village of Grez Sur Loing in France during June. Though my ostensible purpose is to work on a novel in progress, my real goal is to recreate the atmosphere of RLS’s sojourn in the South Seas. Each morning I will convene a meeting of the elders of the village. We will toast each other with coconut milk. I will marry a snake. I will find a peace I had not thought possible, and change my name to ‘Jacques’. Finally, after weeks that will feel like years to the villagers, I will contract an exotic disease that will make me work feverishly on a manuscript I will not live to complete. For years, and generations after, the good, pure people of Grez Sur Loing will tell stories of ‘the pale one that died’.
There will be no statues.
My post on Blockupy Frankfurt is now up on the London review of books blog. Thomas Seibert was a fascinating, engaging interviewee, and I’m very grateful to him for talking to me.
My piece on life in Cairo’s cemeteries is up at Egypt Independent.
My CV says that I have a Bsc in Experimental Psychology, and an Msc in Neuroscience. I seem to remember going for an interview at Oxford University for a PhD. The latter, I am sure, did not go any further, and probably mercifully. By the end of my masters I was very disenchanted with the practice of scientific research, in particular the way in which research seemed to follow scientific fashion, which is to say, funding. It was also disappointing to find many scientists, both at the start of their careers, and further on, who seemed to have little interest in theoretical questions.
Perhaps this was my own fault for having unrealistic expectations. Scientific research is not cheap, and needs to be focussed on details. But by the time I went to China in 1999, I had stopped taking even a passing interest in science. I didn’t read popular science books. I ignored headlines.
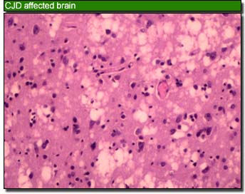
Last week, while logging into my email account, I saw a headline that made me stop, click, then read. Channel 4 had reported that a blood test for variant Creuztfeldt Jakob Disease was now available for use in UK hospitals.
Few people today seem worried about mad cow disease (the popular name for variant Creutztfeldt Jakob Disease). In the late 1990s people spoke of vCJD like it was the new Black Death. All the newspapers, both broadsheet and tabloid, contained harrowing stories of otherwise healthy people developing symptoms that looked like a mixture of Alzheimer’s and Parkinson’s Disease. Memory loss, personality changes, and hallucinations were accompanied by impaired speech, seizures, and problems with movement. Most patients died within 6 months, often of respiratory complications. The fact that vCJD’s symptoms overlapped with so many other neurological conditions meant there was no reliable diagnostic method until a post-mortem examination of the brain could be carried out. Only then it was possible to see the tiny holes in the brain tissue caused by massive cell death (which give it a sponge-like appearance) and to test for the presence of abnormal proteins.
One of the most frightening aspects of the disease was that there was no way to be certain you did not have it. CJD appears in a number of forms: an inherited form; one that occurs spontaneously due to a genetic defect; and one transmitted through the use of contaminated surgical instruments. In the case of vCJD, the cause was thought to be ingestion of beef products infected with Bovine Spongiform Encephalopathy (hence ‘mad cow disease’). It wasn’t just people who ate meat that had reason to be worried; any food containing meat by products (such as gelatin) was a potential risk. It was a wonderful time to be vegan.
In 1997, when I was still a scientist, I did a research project at the CJD Suveillance Unit in Edinburgh- I wrote about this, and what the availability of blood tests means on the LRB Blog yesterday. It made me briefly feel like someone who actually knows something about science. No doubt, this will pass.
Here is a photo of my supervisor Professor James Ironside, looking incredibly tough.
From a new review of The Tree That Bleeds in the Asia Times Online:
“Some readers may be appalled by the author’s behavior in reporting on his fellow teachers, and I was surprised how he makes no apology for what could easily be regarded as stabbing colleagues in the back.”
At the risk of splliting hairs, it was really only one colleague.
I have a story called ‘The Embrace’ in the Autumn 2011 issue of The Southern Review. Both this story, and its predecessor (‘The Ballad of Lucy Miller’, which appeared in the Spring 2009 issue) were chosen by editor Jeanne Leiby, who died earlier this year. I only met Jeanne through email, but I owe her a huge debt, not just for accepting the stories, but also for encouraging me to send more work after my first submission to the journal was rejected.
This is how the story begins, and as should be quickly apparent, it is another despatch from The World of Happy. The issue also features new poems by Sharon Olds, a wonderful poet you should check out if you’re not familiar with her work.
The Embrace
There is no excuse: buildings have windows, roofs and stairs; roads have lorries and cars. In her house there are knives, pills, and bleach. There is a gas oven. If after two years, Heather is not dead, it is because she’s a coward. All she does is say her prayers before she goes to bed. Dear no one, dear nothing, let something burst while I sleep. It does not need to be my heart, just an artery.
But every night her body fails her. Every day, she wakes.
She gets up and goes into the bathroom where there is a high window. Open it and fly beyond, say several bars of soap. Why is it these things that speak? Why not the shampoo?
She sits on the toilet, water leaves her. She flushes and puts down the lid. What was a toilet is now a step, which leads to another, as it does on a scaffold. She climbs up and opens the window; the sky is full of white clouds except for a gap that beckons. It will close, and never reopen, and so she must hurry. All she need do is lean out; gravity will help.
The problem is that the hole is over a cloud, which is above a roof, a window, a stretch of wall, a plaque that says ‘1898’. There is then another window, an intervening branch, and finally, the schoolyard, or part of it, a narrow stretch between portacabin and fence, and soon a bell will ring.
Heather climbs down, then turns on the shower. She takes off her underwear, waits— the water may still be cold —then gets into the bath. The water is warm, then properly hot, and it does not take long to wash. Soap on her face, soap under her arms, soap between her legs. Once this chore is done, she can close her eyes. Focus on water meeting her skin, the paths it takes down her back and arms; the glide of it down her legs. She does not think, hear words, see pictures. She is held by water.
My piece on the idea of a Yugosphere, and the problems of referring to the region that was Yugoslavia, is now up at Citizenship in South Eastern Europe (CITSEE), which is part of the Faculty of Law at the University of Edinburgh. There’s also lots of other good material on the region, including photo reportage and interviews.
I have a post on the LRB Blog about the Occupy Protest in Prague last Saturday. Here’s some video of it as well.
I’m delighted to have been asked to take part in an event at this year EIBF. I’ll be reading alongside Roger Hunt, whose book is about his experience as a hostage in Mumbai in 2008.
The event is on Friday 19th August, at 11.00 a.m. For more details of the event, click here